La impresión 3D ha tenido gran acogida en trauma y ortopedia por ser una gran ayuda para entender la relación entre todos las estructuras y para planear las cirugías.



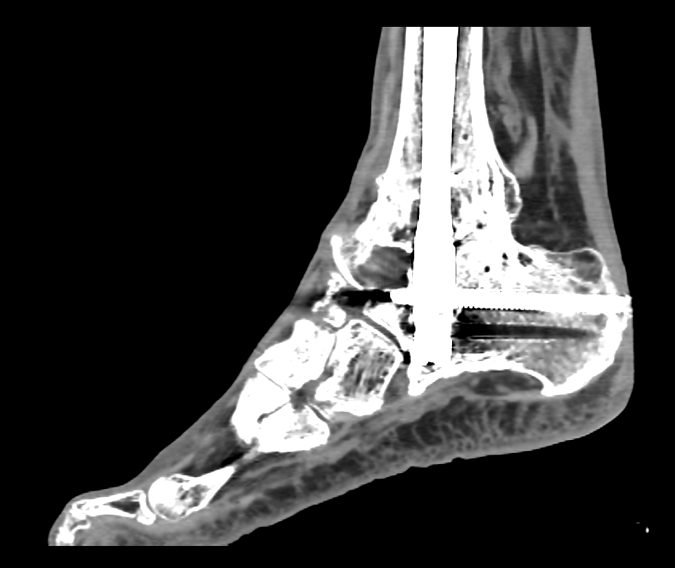
Este es el caso de un pie que había sufrido un trauma y ya había sido intervenido, pero querían hacer otra cirugía para corregir los resultados después de un periodo de curación.

Mediante el uso de segmentación médica se pudo extraer la información del tejido oseo y corregir los artefactos de las imágenes medicas.
Con ese modelo, se procedió a imprimir el modelo


Los modelos anatómicos son muy útiles para todo tipo de aplicaciones, y poco a poco más doctores se están dando cuenta de sus beneficios para todo tipo de cirugías.
Entre los beneficios que ofrecen los modelos anatómicos son la facilidad de comunicación con el paciente, con el equipo de cirugía y la plantación del tratamiento.
Una vez terminado el tratamiento, estos modelos son excelentes recursos para la enseñanza de medicina y la comunicación en congreso y reuniones.

































