Reconstrucción 3D de Pulmones afectados por Covid-19

Utilizando bases de datos abiertas a la investigación y programas de código abierto 3D Slicer, fue posible realizar segmentaciones de alta precisión para cuantificar los daños a pulmones afectados por Covid-19

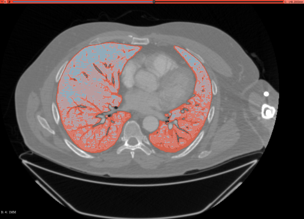
Esta es una sección de un TAC que ha sido segmentado según la densidad del tejido pulmonar, se puede apreciar como la parte posterior de los pulmones se empieza a compactar y a deteriorar.

Aquí se puede apreciar como se vería el pulmón sin las zonas que han sido afectadas por la enfermedad, y se puede ver con facilidad donde ha sido más afectado.

3D reconstruction of a Lung with Covid-19 by makemarco on Sketchfab

Fotogrametría y retopología de bajo relieve

La fotogrametría permite rápidamente obtener modelos 3D de alta calidad de piezas con morfología compleja, en este caso, un bajo relieve que estaba en un museo, una obra que me atrajo por sus detalles y por que era un ejemplo ideal para realizar escaneo 3D por fotogrametría.

La superficie difuza con micro detalle era perfecta para fotogrametría, y la iluminación homogenea facilitó mucho el proceso.

la captura la hice con un móvil de buenas prestaciones, un Samsung Galaxy S20 FE.

Las fotos se deben tomar conm mucho solape y desde diversos ángulos, esto garantiza que el programa pueda reconstruir lo mejor posible el modelo.

En esta imñagen se puede ver como el programa posiciona las imagenes y reconstruye el modelo 3D.

El resultado es en verdad soprendente, para haber sido mediante un móvil y tomas manuales, con cámaras profesionales y trípode, se podría obtener un resultado un poco mejor y con menos imágenes.

El modelo incluye zonas que no son de interes y que han quedado incompletas, además que es un modelo muy pesado, de más de 600 megas, por lo que un paso de limpieza, retopología y optimización le vendría bien.

Este es el modelo importado en Zbrush (he dejado el material por defecto, que es similar al de la obra original)

BasRelief_SD by makemarco on Sketchfab

Acá se puede ver una prueba de baja resolución del modelo, después de limpiar y optimizar.